-
[치아교정일기] 10. 두 번째 발치(왼쪽)교정일기 2022. 8. 16. 18:29728x90
안녕하세요 궁금하닥입니다.
저번 발치 이후 벌써
일주일이라는 시간이 흘러
반대쪽 발치를 할 시간이 되었어요.
치과에 자주 가야 하는 것은
생각보다 더 귀찮았습니다.
교정을 시작한지 D+235가 되었네요.
이렇게 가다 보며는 금방 일년은 될 것 같습니다.
1. 오늘의 치료

저번주에 우측 윗니를 발치했다면
오늘은 좌측 윗니와 아랫니를 발치하였어요
윗니는 반대쪽이랑 마찬가지로 5번째 어금니를,
아랫니는 과잉치가 있는 한쪽을 발치했습니다.
마취하는 과정에서 저번주 보다
오히려 통증이 조금 있었는데요,
주삿바늘이 들어갈 때 따끔하는 통증이
특히 입천장 부위를 마취할 때 심하게 느껴졌어요
지난번이랑 치위생사 선생님이 달랐는데
그것 때문인지,
아니면 저의 컨디션 차이 때문인지는
잘 모르겠지만요...
그리고 대망의 발치는 저번이랑 비슷하게
놀랍도록 허무하게 금방 끝났습니다.
사실 발치는 하는 과정보다 빼고 나서
관리하고 지혈하고 있는게 더 힘든 것 같아요.
2. 발치하고 일주일간의 후기
및 이번 발치 후기


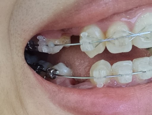
2022/08/16 발치한 자리 사진에 보이는 것이 좌측에 발치한 공간인데요
저번 포스팅에서도 얘기했듯이
생각했던 것 보다 치아 하나가
차지하고 있는 공간이 넓다는 것을 깨달았습니다.
저 사이 공간이 다 닫히고 배열이 완료되어야
비로소 교정이 끝나는 것일 텐데
얼마나 더 긴 시간이 남아있을까요?
오늘 치과에서 교정이 완료된 손님을 봤는데
엄청 부럽더러고요....ㅠ
그리고 발치를 하는 과정에서 문제가 있었는지..
마취 된 상태여서 제가 느낌이 없어서
지혈하는 거즈를 잘못된 방향으로 너무 꽉 물어서인지
입천장 부분의 잇몸에 상처가 났습니다.
윗니가 발치한 곳이랑 이어지는 부위인데요..
다른 곳은 다 괜찮은데 여기 때문에 통증이 조금 있어요
그래도 잇몸은 빠르게 낫는 편이니까
내일 모레쯤 되면 일반 밥을 먹을 수 있겠죠?
오늘은 영락없이 죽을 먹었습니다.
그리고 반대쪽 발치 부위도 완전히 아문것은 아니다보니
저작하는게 쉽지는 않더라구요
우측을 발치하고 일주일간 있어 본 후기는
우선 혈병이 생성 되면
건드리지 않고 그냥 자연적으로 탈락하게
두는 것이 최선이고!
너무 신경쓰지 않는게 낫다는 겁니다.
쉽지 않지만 최대한 혀로 건드리지 않도록 해야 해요.
중간중간 간질거리는 느낌이나 통증,
소소한 출혈이 관찰되기는 했었는데
큰 통증이나 출혈은 없어서
약은 1일분만 복용했었고 이번에도 그럴 예정이에요.
3. 다음 진료 내용??

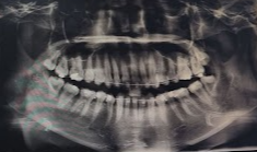
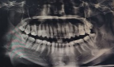
5월에 촬영하였던 파노라마 다음에는 윗니 배열시 조금 위로 당기면서 배열하기 위해
미니스크류를 식립해야 된다고 하네요!
어떤 분들은 이 통증이 발치보다 심했다고 하시던데
치과에서는 그렇게 아프지는 않을 거라고 합니다.
이번 달 진료에서는 와이어 교체는 없이
발치만 이루어졌는데,
다음달에도 스크류만 심고 와이어 교체는 안할 것 같기도 하고..
아무튼 다음달 진료는
9월 13일 화요일 예정입니다!
발치랑 관련된 조금 더 자세한 내용이 궁금하신 분들은
아래 링크를 참고해 보세요
https://questiondoc.tistory.com/118?category=992064
[치아 교정일기] 9. 발치 했어요!(우측)
안녕하세요 궁금하닥입니다. 도대체 언제 하게될지 늘 궁금했던 발치를 드디어 했습니다. 2022/08/09로 교정을 시작한지 D+228 약 7개월이나 지난 뒤에 발치를 하게 되었네요. 이제 예전으로 더 이상
questiondoc.tistory.com
728x90'교정일기' 카테고리의 다른 글
[치아교정일기] 12. 미니 스크류에 고리연결하기! (1) 2022.10.11 [치아교정일기] 11. 미니 스크류(나사) 식립 (0) 2022.09.13 [치아 교정일기] 9. 발치 했어요!(오른쪽) (1) 2022.08.09 [치아 교정일기] 8. 발치가 결정됐어요!(+다이아 모양 와이어 교체) (0) 2022.07.12 [치아 교정일기] 7. 체어타임이 길었어요(브라켓 재부착, 바이트블럭 수정) (0) 2022.05.30