-
치아교정 부작용 알고하자!교정일기 2021. 12. 16. 18:53728x90
안녕하세요 궁금하닥입니다.
요즘 치아교정에 대해 관심이 생겨서 알아보고 있는데요

교정치료는 치열을 반듯하게 하고 구강의 기능을 회복시키지만
다른 모든 치료가 그렇듯이 다소의 위험성과 치료의 한계를 가지고 있습니다.
특히 치아교정의 적절한 나이는 만 14세 가량으로
성인기에 접어든 뒤 시행할 경우 부작용을 더 크게 겪을 수 있습니다.
오늘은 교정을 결정하기 전 고려해야할 부작용에 대해 알아보겠습니다.

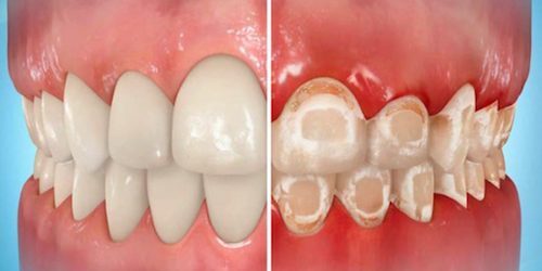
1. 치아탈회
치이표면이 하얀색으로 부식되는 것을 말합니다.
당분이나 산도가 높은 음식물을 과도하게 섭취하거나
칫솔질을 게을리하면 누구에게나 생길 수 있는 증상이기도 합니다.

교정장치 장착 후 양치질이 제대로 되지 않으면 치아 탈회의 가능성이 높아지는데,
한번 탈회된 치아는 다시 회복되기 어렵기 때문에
정도가 심한 경우 충치로 전이되지 않도록 별도의 치료가 이뤄져야 합니다.
초기탈회는 불소도포나 나노 하이드록시아파타이트등의
치아재광화촉진재로 치료할 수 있습니다.
한 번의 치료로 가능한 것은 아니며
탈회된 부위에 부족한 미네랄을 꾸준히 공급해 주어야 합니다.
탈회의 원인이 된 어떤 습관을 개선하는 것도 탈회치료에 매우 중요한 부분입니다.
초기 에나멜 탈회를 치료 하지 않고 방치하면
덴틴으로 침투하므로 적극적인 관리와 치료가 필요합니다.
만약 에나멜 탈회가 덴틴까지 침투하면
레진치료등의 치과보철치료, 라미네이트 등을 시행할 수 있습니다.
치아미백도 시행할 수 있으나 탈회를 치료하는 방법이 아니라
탈회는 감추는 방법이며 도리어 에나멜을 더 손상시킬 수 도 있습니다.
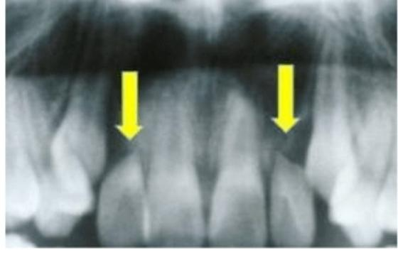
2. 치근 흡수
치아의 뿌리 부분이 뼈 속을 이동하는 동안 약간 짧아지는 현상으로
정도의 차이는 있지만 교정치료를 받은 사람에게서 종종 발견됩니다.
일반적으로 흡수 정도는 경미한 편이지만,
경우에 따라서는 교정치료를 중단하고 신경치료를 진행해야 할 수도 있습니다.
교정치료 이전의 치아손상이나 충치 충전, 교정 중 외상에 의해
치아신경이 죽는 치수 괴사도 발생할 수 있는데,
이 경우에도 신경치료가 진행됩니다.

<치아의 이동과정>
1) 압박 부위의 변화
파골세포가 활성화되어 자연스럽게 뼈가 천천히 소실되는 골흡수가 나타남.
2) 압박 부위 반대쪽의 변화
골아세포가 활성화되어 잇몸뼈가 자연스럽게 생성되는 골형성이 나타남.
→ 교정력에 치아뿌리 주변 치주인대가 반응해
정상적인 염증반응을 통해 골흡수와 골형성이 나타나 문제없이 치아 이동!
치근흡수가 많이 일어나는 경우
1. 치아뿌리가 타고난게 약한 경우
2. 외부의 충격을 받았던 적이 있는 경우
3. 교정력이 과도한 경우(너무 빠르고, 힘이 강하게 교정)
4. 치료기간이 길어진 경우
5. 치아 이동거리가 긴 경우
6. 매복사랑니나 잇몸염증이 있는 경우
7. 전신질환이 있는 경우
8. 앞니로 손가락을 빨거나 손톱을 물어뜯는 악습관이 있는 경우
미약한 치근 흡수는 문제없으나
교정치료 중에는 6개월마다 정기적으로 x-ray를 촬영해
치근 흡수 여부를 확인하면서 치료를 진행해야 합니다.
3. 잇몸 염증
잇몸에 염증이 생기면 붓고 피가 나는데,
이는 치아 사이와 교정장치 주위에 양치질 등의
구강관리가 제대로 되지 않아 발생합니다.
구강위생 상태가 좋아지면 원래의 상태로 돌아오므로 너무 걱정하지 않아도 됩니다.
다만, 치주염으로 발전하는 것은 미리 막아야합니다.
구강위생상태를 항상 청결히 하고 적절한 칫솔의 선택, 치간칫솔의 활용이 필요합니다.
4. 잇몸 퇴축(블랙트라이앵글)
잇몸이 내려가 치아 뿌리가 노출되는 잇몸 퇴축은 누구나 경험할 수 있는,
나이가 들면서 나타나는 자연스러운 노화 현상이지만
교정치료를 받는 성인에게선 좀 더 빨리 나타날 수 있습니다.
잇몸 퇴축으로 인해 치아 사이에 블랙 트라이앵글이라는
검은 틈이 생길 수 있는 만큼 이에 대한 치료가 이뤄져야 합니다.
교정치료 중 구강관리 소홀도 잇몸 퇴축을 가속시킬 수 있으니
구강 청결에도 신경을 써야 하고요.
블랙트라이앵글

칫솔질이 잘 안되어 잇몸이 안 좋아지며, 퇴축되고,
치아 사이를 잘 채워주지 못하기 때문에 발생합니다.
혹은, 너무 타이트하게 붙어있거나 겹쳐있던 치아가
교정을 통해 벌어지면서 블랙 트라이앵글이 생길 수 있습니다.
성장기에는 블랙트라이앵글이 생겼다가 자연스럽게 잇몸이 차오르기도 하지만,
성인은 거의 차오르지 않습니다.
이런 경우 치간삭제를 통해 블랙트라이앵글을 없애고
잇몸 관리를 철저히 해서 예방하는 방법 밖에는 없습니다.
5. 처음상태로의 회귀(재발)

치아를 예쁘고 가지런하게 배열을 한다해도
교정치료 후 어느정도는 이전의 치아상태로 되돌아가려는 경향이 있습니다.
치료에 최선을 다하여 이를 최소화할 수는 있으나,완전히 제거하기는 현실적으로 불가능합니다.
만일 재발이 심하면 재치료하는 경우도 있습니다.
이러한 재발을 방지하기위해서 치료 후 유지장치(retainer)를 사용합니다.
이 기간동안은 환자분의 협조가 매우 중요합니다.6. 턱관절통증 (약관절장애)
간혹 몇 몇 환자는 치아의 맞물림이 조금만 변해도 예민하게 느끼는 분이 있습니다.
특히 턱관절에서 소리가 나거나 통증을 수반하는 경우도 있는데이러한 현상이 발견되면 곧 주치의에게 말씀하셔야
적절한 조치를 취할 수 있습니다.
치아 이동에 따라 교합이 변하면서 입이 잘 안벌어진다거나턱관절, 저작근 통증이 생길 수 있는데요.
턱관절 및 저작근 치료를 동반하거나 증상이 제법 되는 경우에는
잠시간 교정치료를 중단하고 턱관절 치료를 통해 문제를 개선하고,
다시 교정치료를 이어서 진행하게 됩니다.
오히려 교합이상으로 인해 유발된 턱관절장애의 경우에는
교정치료를 통해 증상이 호전될 수도 있습니다.
그러나, 턱관절 장애를 가진 환자의 경우 교정치료를 하더라도반드시 증상이 호전된다는 보장은 없습니다.
7. 통증
치료 당일, 혹은 이후 며칠 동안 치아 및 주위조직에 통증이 있을 수 있으나이는 치아가 움직이며 나타나는 정상적인 것으로 곧 없어집니다.
참기 어려우면 일반적인 진통제를 드셔도 됩니다.
교정장치를 붙이고나서 일주일 정도 시간이 지나면 통증은 사라지긴 하지만
와이어를 교체하는 시기나 필요에 따라 좀더 강한 교정력을 가하면 통증이 다시 나타나기도 합니다.
8. 치아우식증 (충치)
교정치료 시 구강위생상태가 청결하지 않으면 충치의 발생 확률이 높아집니다.
치과에서는 환자의 구강위생에 주의를 기울이고 있으나,근본적으로 환자 본인 또는 보호자께서 신경을 써야합니다.
음식물 섭취 후에는 반드시 이를 닦는 습관을 갖아야 합니다.
고정식 교정장치를 부착한 환자의 경우 별도의 교정용 칫솔을 사용하는 것이 좋습니다.
보조적으로 치간칫솔이나 전동칫솔 또는 치아세정기의 사용을 권장합니다.9. 유착지
가끔 골과 유착된 치아가 있을 수 있습니다.대개 미리 알기가 불가능하며,
유착치의 경우 치아이동이 일어나지 않기 때문에
원하는 교정치료 자체가 불가능해지는 경우도 있습니다.
10. 치수괴사 (치아의 실활)
교정치료 중 간혹 치아가 죽는 경우가 있습니다.
대개 교정치료 이전에 알게 모르게 손상이나 충격을 받은 경우에 나타납니다.
이것은 환자나 보호자가 미리 알수 없으며, 주치의 또한 미리 알 수 없습니다.
따라서, 원인불명으로 치수의 괴사가 나타날 수 있으나치아를 발치하지 않고 근관치료를 하여 정상적으로 사용할 수 있습니다.
11. 구내염
사람마다 차이는 있겠지만
없다가 생긴 교정장치나 와이어로 인해 상처나 긁히는 증상이 나타납니다.
교정장치가 구강 점막에 마찰되면서 입안이 헐거나 상처가 생기게 되죠.
구내염이 나타나는 경우도 많이 있습니다.
그 외에도 주치의와 의사소통이 잘 되지 않는 경우
본인이 원하는 것 보다 입이 더 들어가면서
옥니(옹니), 할머니입, 팔자주름 등 외적인 불만족 역시 발생할 수 있습니다.
의사가 생각하는 심미적인 기준과 환자 본인이 생각하는 기준이 다르기 때문입니다.
교정치료 부작용은 의사와 환자와의 충분한 소통과
환자의 적극적인 협조 등이 이뤄진다면 예방이 가능합니다.
부작용 발견 시 조기대응으로 교정치료 기간도 줄일 수 있고요.
무엇보다도 후회 없는 교정치료를 위해선
환자에게 나타날 수 있는 교정치료의 부작용을 충분히 예측하고,
이에 맞는 방법을 제안해줄 수 있는 교정 경험이 많은 교정전문치과를 선택해야 합니다.
교정 장치의 다양한 종류에 관해서는
아래 링크를 참고해 주시길 바랍니다.
https://questiondoc.tistory.com/9
치아 교정장치 종류 및 장단점 알아보기
안녕하세요. 궁금하닥 입니다. 이번 포스팅에서는 교정장치의 종류에 대해 간단하게 알아보도록 하겠습니다. 1) 메탈교정 가장 긴 역사를 가지고 있는 교정장치죠. 금속으로 만들어진 브라켓을
questiondoc.tistory.com
728x90'교정일기' 카테고리의 다른 글
[치아 교정일기] 4. 아랫니 브라켓 부착+바이트블럭 (4회차) (0) 2022.03.06 [치아 교정일기] 3. 교정 세 번째 : 와이어 교체 (3회차) (0) 2022.02.07 [치아 교정일기] 2. 교정 두번째, 와이어 부착(2회차) (0) 2021.12.28 [치아 교정일기] 1. 교정 시작: 브라켓 부착(1일차) (0) 2021.12.26 치아 교정장치 종류 및 장단점 알아보기 (0) 2021.12.18