-
[치아 교정일기] 7. 체어타임이 길었어요(브라켓 재부착, 바이트블럭 수정)교정일기 2022. 5. 30. 18:20728x90
안녕하세요 궁금하닥입니다.
매달 돌아오는 치아교정일기
이번 치과 방문도 평소처럼 금방
끝날거라 생각했는데,
생각보다 약간 길어졌었어요.
22/05/30 오늘 기준으로 D+157
약 5개월이 넘어가게 되는 시점이네요.
교정을 완료하기까지
앞으로 2년, 짧으면 1년 반의 시간이 남았어요
1. 오늘 진료 내용은??
원래 예정되있던 진료는,
크게 저번에 찍은 X-ray 사진에 대한 설명과
아랫니 철사 교체를 할 예정이었어요.
우선 저번 방문 때 윗니 철사 교체를 했는데
초반에 철사 끝부분에 입안이 많이 찔렸었거든요
입안도 헐고 해서 평소에는 안쓰던
치아 왁스도 종종 쓰다가 일주일 쯤 지나니까
적응되서 까먹고 있었는데,
이번에 진료 보니까 철사가 원래 위치에서
약간 돌아가서 그런거라고 하면서
철사 위치를 조금 이동하고
끝을 다듬어 주시더라고요
그러니까 하나도 안찔림!
(만약 철사 찔림이 너무 심하시면
저처럼 참지 마시고 병원에 얘기하세요)
그리고 배열 상태를 보시더니
앞니 부분이 예상보다 덜 움직였다고
고민을 하시더니 오른쪽 앞니 브라켓을 떼고
위치를 조금 이동시켜서 부착해보자 하셨어요.
그래서 윗니 브라켓을 한개 떼고 다시 붙였습니다.
사실 브라켓 떼는게 아프다고 들었었는데
저는 초반이라 그런가, 한개만 때서 그런가
별로 통증은 없었어요!
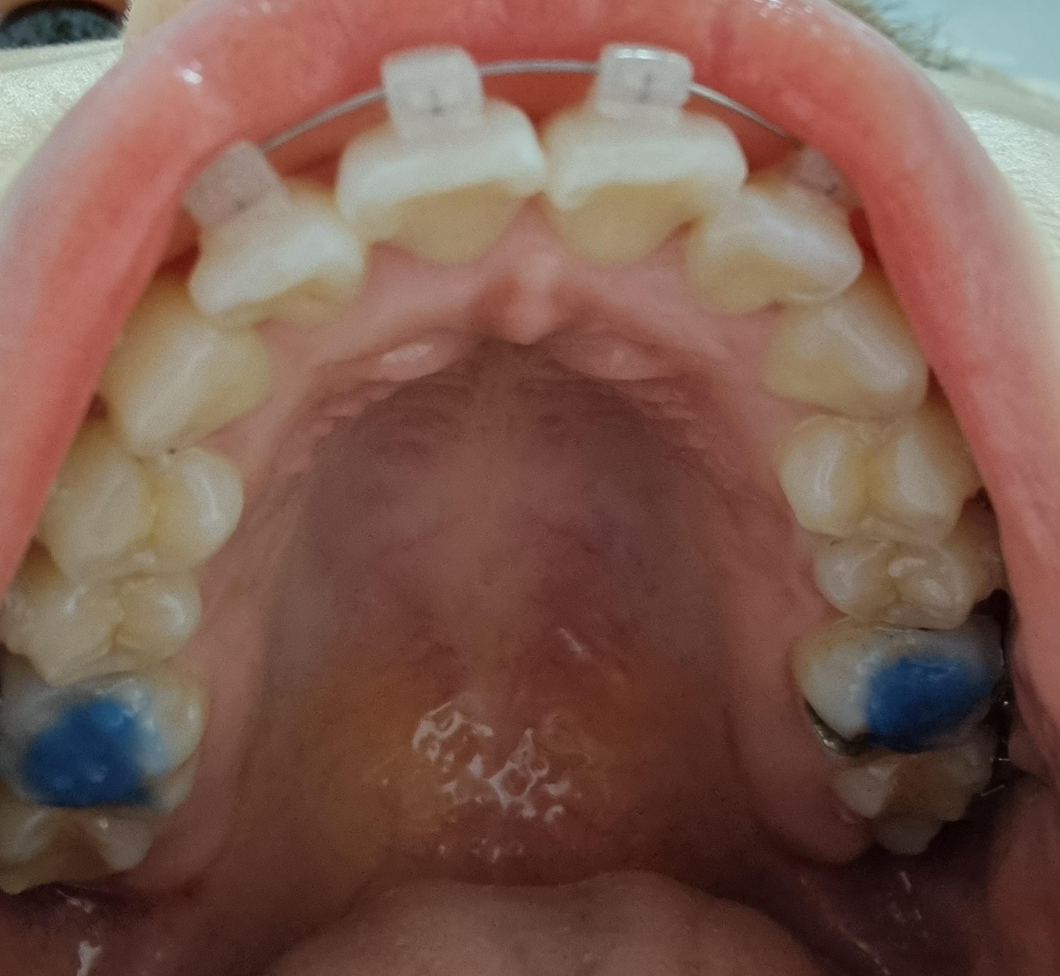
그리고 예정되어 있는 아랫니 철사도 교체했는데
교체하던 중에 제일 뒤 어금니 브라켓이 떨어져서
이것도 새로 부착했습니다.
그런데.. 브라켓 새로 붙이니까
또 윗니랑 아랫니랑 서로 좀 부딪히는 면이 생겨서
원래 하고 있던 바이트 블럭 위에
레진을 조금 더 덧대서 바이트 블럭을 수정했어요..ㅠㅠ
(이게 나중에 식사하니까 꽤나 불편했어요)
그러니까 이번 진료에서는
윗니 브라켓 위치변경, 아랫니 브라켓 재부착
아랫니 철사교체, 바이트블럭 수정
을 시행했습니다!
그래서 그런지 약 30-40분쯤? 평소보다 오래걸렸어요.
2. 그 동안 치아 상태 변화 및 X-ray
2022-05-02 2022-05-30 D+157 아래랑 위 사진을 비교해 보시면
배열에 있어서 저는 큰 차이는 모르겠습니다.
이번에 윗니 브라켓 위치를 조정해서
자세히 살펴보면 이번 사진(5/30)에서
철사가 일자가 아니고 살짝 구부러져 있는데
한달이 지나면 이게 또 조정이 되어 있겠죠?
이렇게 사진으로 보니까
과개교합의 정도가 개선된 것 같아 보이는데
바이트블럭도 교체했고,
과개교합은 사진 각도 따라서 종종 달라보여서
정확히는 모르겠습니다.
불편한 점이 앞니부분인데,
저번에 붙인 레진을 덜 제거한건지
이번에 붙이면서 레진이 너무 많았던건지는 몰라도
브라켓 위로 삐져나온 레진이 보입니다.
미관상 조금 신경쓰이긴 하는데
나말고는 아무도 모를테니까 그러려니 하려고요
2022-03-06 2022-05-30 D+157 위의 사진은 3월달에 처음 바이트 블럭을 올렸을 때고
아래 사진은 지금 새로 올린 모습이에요.
확실히 저번보다 레진의 양이 많아졌네요.
왼쪽에 저 까만 점은 뭔지 모르겠는데
양치를 해도 손으로 긁어봐도 안없어 지네요..;;
바이트 블럭이 확실히 새로 올리니까
저작하는 느낌이 달라져서 그런지
불편한 느낌이 많이 왔습니다.
바이트블럭에 대해 궁금하신 점이 있으시면
아래 링크를 참고해 보세요.
https://questiondoc.tistory.com/53?category=992064
[치아 교정일기] 4. 아랫니 브라켓 부착+바이트블럭 (4회차)
안녕하세요 궁금하닥입니다. 오랫만에 치아 교정일기로 돌아왔네요 치아교정을 시작한 지 2022/03/06 포스팅 작성일 기준 D+72 2개월 하고 10일 정도 지난상태네요. 2년~2년 반 정도 걸린다고 얘기 들
questiondoc.tistory.com
3. 그래서 발치는 언제? 앞으로의 치료계획
X-ray 설명을 들었는데
아무 생각이 없었는지 사진을 안찍어 왔네요;;
사실 제가 방사선 사진을 나름 볼 줄 안다고 생각했는데
치과 부분은 또 다른 전문 분야더군요.
문외한의 눈에는 장치가 붙은 것 외에는
그 전 파노라마와 비슷해 보였습니다.
설명하시기로는 윗니는 양쪽 4번 치아를
(송곳니 다음 치아)
아랫니는 원래 앞니가 하나 없어서
고민하다가 양쪽 사랑니를 발치하기로 했습니다.
제가 사랑니가 총 3개가 났는데
아랫니는 두개 다 예쁘게 난 상태거든요.
지금 다니는 교정치과에서는
사랑니 발치는 하지 않기 때문에
다른 구강악안면외과 전문의가 있는 치과로
진료의뢰서를 써주시기로 했습니다.
발치는 두달 뒤에 진행할 예정이라고 하고
개인적인 생각으로는 뭐 진행 속도에 따라
더 딜레이 될 수도 있을 것 같아요.
제 치아 교정 속도가 그렇게 빠른 것 같지는 않거든요..
사랑니 발치는 안그래도 고민하던 부분이라
그냥 고민없이 그렇게 하기로 했습니다.
그런데 발치할 때 4개를 동시에 빼려는지...?
그 계획은 모르겠네요.
다음번 방문 때 물어봐야 겠어요.
다음 방문은 7월 4일 월요일 예정입니다.
저는 그럼 다음 포스팅으로 돌아오겠습니다.
https://questiondoc.tistory.com/8?category=992064
치아교정 부작용 알고하자!
안녕하세요 궁금하닥입니다. 요즘 치아교정에 대해 관심이 생겨서 알아보고 있는데요 교정치료는 치열을 반듯하게 하고 구강의 기능을 회복시키지만 다른 모든 치료가 그렇듯이 다소의 위험성
questiondoc.tistory.com
https://questiondoc.tistory.com/9?category=992064
치아 교정장치 종류 및 장단점 알아보기
안녕하세요. 궁금하닥 입니다. 이번 포스팅에서는 교정장치의 종류에 대해 간단하게 알아보도록 하겠습니다. 1) 메탈교정 가장 긴 역사를 가지고 있는 교정장치죠. 금속으로 만들어진 브라켓을
questiondoc.tistory.com
728x90'교정일기' 카테고리의 다른 글
[치아 교정일기] 9. 발치 했어요!(오른쪽) (1) 2022.08.09 [치아 교정일기] 8. 발치가 결정됐어요!(+다이아 모양 와이어 교체) (0) 2022.07.12 [치아 교정일기] 6. X-ray 사진 촬영(6회차) (0) 2022.05.02 치아 교정 하면서 열심히 사용한 기기들 추천 (1) 워터픽(구강세정제) (0) 2022.04.26 [치아 교정일기] 5. 아랫니 철사 교체(5회차) (0) 2022.04.05