-
담낭염 : 다이어트 중 극심한 통증(복통), 위경련이 아니라 담낭염 일 수 있어요.건강정보/내과 2022. 5. 11. 18:50728x90
안녕하세요 궁금하닥입니다.
저번 포스팅에서 만성췌장염에 대해 알아봤었는데요,
궁금하신 분들은 아래 링크를 참고해 주세요.
https://questiondoc.tistory.com/80
만성 췌장염 : 매일 음주하는 경우 위험해요!
안녕하세요 궁금하닥입니다. 췌장은 우리가 섭취하는 음식을 탄수화물, 지방, 단백질을 화학적으로 분해·소화하는 역할을 합니다. 강력한 소화효소들을 분비하고, 위산이 십이지장으로 넘어올
questiondoc.tistory.com
이번 포스팅에서 알아볼 내용은 담낭염인데요.
우선 담낭이 뭔지 헷갈리시는 분들이 있을겁니다.
저번 포스팅의 췌장이랑 담관을 통해서 이어지는 기관인데요,
우리말로 쓸개라고도 하는 소화기관으로
담즙을 농축, 저장하는 기능을 가지고 있으며
성인 주먹의 절반크기 정도의 주머니입니다.

간에 붙어 있는 주머니인 담낭은 40~70ml 정도의 용적으로
식사 전에는 크기가 증가하고
식사 후 소화가 시작되면 줄어들게 됩니다.
담낭 안에 보관된 담즙을 십이지장으로 배출하기 위하여
담관이 형성되어 있는데,
담관의 끝은 췌장(이자)관과 만나서
십이지장으로 연결되어 있습니다.
따라서 췌장 또는 담관의 질환이 있는 경우에도
담낭에 이상이 생길 수 있습니다.
배출된 담즙은 소화효소를 돕는 조효소 역할을 하며
주로 지방의 소화를 돕습니다.
담낭에 가장 흔하게 발생하는 질환은 담낭에 돌이 생기는 담석증입니다.
또한 담석에 의하여 급성 또는 만성적인 담낭염이 생기기도 하며,
만성 담낭염은 담낭암의 원인이 되기도 합니다.
그 외에 생길 수 있는 담낭용종 또한 담낭암의 한 원인이 됩니다.
이번 포스팅에서는 담낭의 여러 질환 중
담낭염에 대해 알아보도록 하겠습니다.
1. 담낭염이 무엇인가요?
담석, 수술 후 협착, 종양 등의 원인으로 인해
완전 혹은 불완전한 협착이 발생하여
혈류나 담관을 통해 장내 세균이 담즙 내에서 증식하면서
담낭(쓸개)에 염증을 일으키는 질환을 급성 담낭염이라고 합니다.
담석이 지속적으로 담낭벽을 자극할 경우
만성 담낭염이 생길 수 있습니다.
급성 담낭염이 반복되어 만성 담낭염으로 변하는 경우도 있지만,
만성 담낭염 환자의 대부분은 급성 담낭염의 병력이 없고
비특이적 통증만 나타나거나 무증상입니다.
[담낭염의 발생과정]

담낭염이 생기는 과정을 담석성 담낭염을 예로 보면(그림)
담석이 담즙이 배출되는 길인 담낭관을 막게 됩니다.
그러면 기계적 폐색이 생기면서 담낭 안의 압력이 올라가게 되고
담낭을 싸고 있는 벽의 압력이 높아집니다.
담낭에 허혈성 변화를 겪으면서 염증이 발생하고
그리고 그 안에 있는 담즙과 소화효소들이
화학적 염증을 또 만들게 됩니다.
제대로 배출되지 못하는 세균들이 번식하면서
세균성 염증이 감염을 유발하며 급성 담낭염이 발생합니다.
2. 담낭염의 원인은 어떻게 되나요?
담낭염의 90% 이상은 담석에 의해 발생하며,
그 외에 외상, 선천성 기형, 당뇨병, 기생충 등과 관계가 있습니다.
원인이 되는 세균 중에서 가장 많은 것이 대장균이고,
그 외에 포도상구균, 연쇄구균, 폐렴간균 등이 있습니다.
급성 담낭염의 약 5~10%에서 수술상 담석이 발견되지 않고,이들의 약 50%는 염증의 원인이 분명하지 않습니다다.(무결석 담낭염)
이 경우 더 급격히 발생하며 괴사 및 천공이 발생할 확률이 높고
다른 중증 질환을 동반하고 있는 경우도 흔합니다.
담낭염의 경우 일반적인 담석증에 비해
진단과 치료가 어려워 주의가 필요합니다.
Q. 정말 다이어트가 담낭염을 발생시키나요?
오랜 기간 금식을 하게 되면,
담낭수축호르몬(cholecystockinin)이 분비가 안되고
담낭의 수축력이 떨어져 담즙이 고이게 되며
무결석 담낭염을 발생시킨다고 알려져있습니다.
다이어트를 하게 되는 경우에 금식이나 식이조절을 하게 되어
담낭의 움직임이 평상시보다 저하됩니다.
그리고 고지방식이를 피한다든지 식이 조절을 과하게 하게 되면
담즙 안에 농도가 달라지게 되어서 담즙이 잘 배출되지 못하게 됩니다.
그래서 담석증이 더 잘 생기게 되고,
이때문에 담낭염이 더 잘 유발될 가능성이 있습니다.
3. 담낭염의 증상과 종류는 어떻게 되나요?

(1) 급성 담낭염
급성 담낭염은 갑자기 시작되어
상복부에 극심하게 지속되는 통증을 초래합니다.
급성 담낭염이 나타나는 환자의 95% 이상은 담석이 있습니다.
급성 담낭염 환자의 약 3/4은 과거에
담도산통(biliary colic)*을 경험했던 병력이 있습니다.
급성 담낭염은 담도산통 증상으로 시작하여
시간이 지남에 따라 정도가 심해집니다.
오른쪽 윗배에 국한되는 압통이 발생하고,
부분적으로 복막자극의 징후가 나타날 수 있습니다.
흔히 오심, 구토가 동반되고 미열이 발생하는데
고열(38도 이상)과 오한도 드물지 않게 동반됩니다.
약 25%의 환자에서 담낭이 커져서 손으로 만져 지기도 합니다.
식사여부와 관련 없이 지속적인 통증을 유발하지만,
식후에 통증이 심화되는 경우가 많습니다.
특징적인 증상으로 머피징후(Murphy’s sign)가 있는데,
이는 오른쪽 윗배의 갈비뼈 아래 경계부위를
가볍게 누른 상태에서 숨을 깊게 들이 마시면
갑자기 통증이 유발되어 숨을 더 이상
들이마실 수 없게 되는 현상을 말합니다.
이런 증상이 전형적으로 발생하지 않는 환자들은
소화불량이나 구토로 오시는 분들도 있고
노인이나 면역질환자 같은 경우에는
이러한 증상이 잘 나타나지 않는 경우도 있습니다.
**담도산통
담석에 의하여 발생하는 복통을
담도성 통증(biliary pain)이라고 합니다.
담도성 통증은 상복부 혹은 우상복부에적어도 30분 이상 수시간 지속되며,
강도는 중등도 이상으로 대체로 일정한 특징을 보입니다.
통증이 주로 밤에 증상이 나타나는 경우가 많고때로는 등이나 우측 어깨로의 방사통이 나타나며
통증이 수분 간격으로 반복되는 간헐적인 통증이 아니고적어도 30분 이상은 꾸준하게 지속됩니다.
전형적인 담도성 통증이 한동안 지속된 이후에는통증이 거의 소실되며, 오심 구토를 동반할 수 있습니다.
(2) 무결석 담낭염
드물기는 하지만 담석을 동반하지 않는 급성 담낭염이 있는데
이를 무결석 담낭염이라고 합니다.
담석은 없으나 담낭이 찌꺼기(담석 내 입자와 유사한 미세 물질 입자)를포함하고 있을 수 있습니다.
무결석 담낭염은 다른 유형의 담낭염보다 훨씬 심각합니다.
무결석 담낭염은 아래의 상황 이후 나타나기 쉽습니다.
대수술
심각한 손상, 중증의 화상 또는 혈류 감염(패혈증)과 같은 치명적 질병
장기간 정맥 영양 공급
장시간 공복
면역체계 결핍
전신성 홍반루푸스, 결절성 다발동맥염과같이 혈관 염증을 수반하는 특정 장애(혈관염)
무결석 담낭염은 대개 급성 담낭염보다 통증이 심하며
염증은 흔히 매우 심각하며 담낭의 괴저나 파열을 초래할 수 있습니다.
부기(팽만)와 압통이 나타나는 복부나원인을 알 수 없는 고열이 동반 될 수 있으며,
무결석 담낭염을 치료하지 않을 경우 사망률은 65%에 이릅니다.
(3) 만성 담낭염
만성 담낭염의 증상은 무증상에서부터
비특이적 통증, 담도산통, 급성 담낭염까지 다양하며,
갑자기 합병증으로 발현되기도 합니다.
만성담낭염은 염증의 재발로 인해 담낭이 손상되며
담낭 벽은 비후해지고 반흔이 발생하며 수축될 수 있습니다.
흉터가 광범위한 경우, 담낭벽에 칼슘이 침착되어
담낭벽을 경화시킬 수 있습니다(석회화 담낭)
만성 담낭염 환자들은 통증이 자주 재발되는데,담낭 위 상복부에 압통이 있지만, 그 정도는
급성보다 덜 중증이고 오래 지속되지 않습니다.
또한 발열은 드뭅니다.
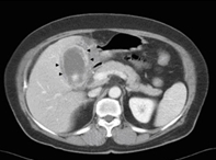
4. 담낭염의 진단 방법은?
급성 담낭염의 특징적인 증상과 징후가 있는 경우에 진단하는데,
특히 오른쪽 위쪽 복부의 압통과 발열, 백혈구 증가 등의
세 가지 징후가 나타나면 급성 담낭염으로 진단할 수 있고,
혈액검사 및 영상검사로 확진합니다.
복부 초음파 검사를 시행한 경우
이 경우 담낭 내에 담석이 있고, 담낭벽이 두꺼워져 있으며,
담낭 주변에 체액이 고여 있는 소견을 관찰할 수 있습니다.
또한 검사 시 초음파 탐촉자로 담낭 부위를 눌러서
압통을 확인하기도 합니다.
담낭 동위원소 촬영도 급성 담낭염을 진단하는 데 사용됩니다.
동위원소를 주사한 뒤 30~60분 안에
담낭이 보이지 않는 경우 급성 담낭염을 의심할 수 있습니다.
정확한 진단이 어려운 경우
복부 전산화 단층촬영(CT)을 하여 급성 담낭염을 진단하고,
합병증 또는 췌장이나 담관 등 다른 복강 내 병변을 확인합니다.
혈액검사상 백혈구 증가증을 보이며,
심한 과빌리루빈혈증과 아밀라아제 혈증이 있을 수 있어
위의 증상 동반 시 담관 담석과 담석성 췌장염을 의심해야 합니다.

5. 담낭염의 치료 방법은?
금식을 유지하고 정맥을 통해 수액을 공급하고,
구토를 억제하기 위한 약물을 투여하며,
진통제와 진경제로 통증을 조절하며
항생제를 투여하여 염증을 조절합니다.
75%의 환자는 수술하지 않아도 증세가 호전됩니다.
다만 증상이 좋아지더라도, 급성기가 지난 후 25%에서 재발을 하기 때문에
담석이 들어 있는 담낭을 절제하는 수술을 대부분 시행하는 추세입니다.
수술 후 부작용이 없는 것은 아니지만,
수술로 얻는 이점이 많기 때문에 대개 수술을 시행하며
특별한 합병증이 없는 한 복강경 담낭절제술
(endoscopic cholecystectomy)이 많이 시행되고 있는데
이 경우 수술 1~2일 후이면 퇴원이 가능하고,
평균 1주일이면 일상생활로 복귀합니다.
만약, 담낭염이 진행되어 농양이나 천공, 급성 기종성 담낭염 등의
합병증이 발생한 경우에는 경피적 방법이나 내시경적 방법으로
응급 담낭 배액술을 시행해야 합니다.
6. 담낭염의 경과 및 합병증!
급성담낭염의 증상은 일반적으로 2~3일 안에 가라앉으며
일주일 안에 완전히 해소됩니다.(75% 이상)
그러나 급성 증상이 지속되면 심각한 합병증이 생길 수 있습니다.
점차적으로 악화되는 중증의 통증, 고열, 오한은
담낭 내 농양 또는 천공을 의미합니다.
담낭이 천공되면서 소장 혹은 대장과 누공을 형성하는 담낭장관루와
이를 통해 담석이 빠져나가 장관 폐쇄를 유발하는
담석성 장폐색 등이 발생할 수 있습니다.
황달이 나타나거나 흑색 뇨와 연한 색의 대변을 배설하는 경우,총담관이 결석으로 막혀
간 내 담즙 정체(담즙정체)를 야기하고 있을 수 있습니다.
췌장염도 나타날 수 있는데, 이는바터팽대부(총담관과 췌장관이 만나는 부위)를 막는
결석으로 인해 발생합니다.
7. 미리미리 담낭염을 예방합시다.
규칙적인 식사와 골고루 영양을 섭취하는 것이 필요합니다.
그리고 고콜레스테롤이나 포화지방산이 많이 들어간 음식은
자제를 하는 것이 좋습니다.
비만뿐만 아니라 급격한 체중감소 또한 담낭염을 발생시킬 수 있기 때문에
체중이 너무 많이 늘어나거나 줄어들지 않도록
평소 규칙적인 운동을 하는 것이 도움 됩니다.
728x90'건강정보 > 내과' 카테고리의 다른 글
안면신경마비 : 얼굴이 돌아갔어요?! (안면마비의 원인 및 예후) (0) 2022.05.23 입맛이 없어요 : 식욕부진 (원인과 개선 방법은?!) (0) 2022.05.19 만성 췌장염 : 매일 음주하는 경우 위험해요! (0) 2022.05.09 어지럽고 무기력해요. 빈혈일까요? (철결핍성 빈혈, 거대적아구성 빈혈, 용혈성 빈혈, 재생불량성 빈혈 등) (0) 2022.04.28 만성 폐쇄성 폐질환(COPD) : 가벼운 기침, 가래, 호흡곤란이 계속된다면? (0) 2022.04.12