-
맹장염(충수돌기염) : 초기 증상이 어떻게 될까요?건강정보/내과 2022. 6. 7. 18:35728x90
안녕하세요 궁금하닥입니다.
복통이 하루를 넘어서 계속되는 경우
단순한 장염, 복통인지 아니면
이게 혹시 맹장염 증상이 아닐까
궁금해 하시는 분들이 많습니다.
만약 맹장염이 맞다면,
발병 이후 빠른 치료가 중요한데요
맹장염의 증상에 대해 알아보겠습니다.
1. 맹장의 위치?!

인간의 장은 입으로 부터 시작되어
식도를 거쳐 위, 소장, 대장 그리고
마지막으로 항문관으로 이어지게 됩니다.
그중 맹장(충수)과 연관된 기관은 대장입니다.
대장은 다시 맹장, 상행결장, 횡행결장,
하행결장, 구불결장, 직장으로 나뉘게 되는데,
충수돌기는 대장의 시작부위인
맹장의 최하단부에 돌출되어 있는 관 보양의 장기로서
이 장기에 염증이 생기는 것을
흔히 맹장염이라고 불렀습니다.
하지만 정확한 명칭은 충수돌기염 또는
충수염이라고 하는 것이 맞습니다.
2. 충수돌기염의 개요
맹장염(충수돌기염)은 소장의 말단부에서
대장으로 이행하는 부위에 붙어 있는
10cm 정도의 충수돌기에 생기는 염증을 의미합니다.
대부분 수술적 절제가 필요한
급성 복통을 일으킵니다(급성 충수염).
때로 증상이 재발하는 경우가 있는데,
이것을 재발성 충수염이라고 합니다.
연령과 성별을 크게 구분하지 않고 발병하지만
비교적 20~30대의 젊은 세대에서
발병률이 높은 편입니다.
충수염은 매년 약 10만명 정도의 환자들이 발생하여
우리나라의 시행되는 수술중에서
4번째로 많이 시행되고 있습니다.
3. 충수돌기염의 원인
충수염의 원인은 명확히 밝혀져 있지는 않지만,
대부분 충수돌기 개구부가 폐쇄되면서
시작되는 것으로 알려져 있습니다.
10대의 경우에는 점막하 림프소포(lymphoid follicle)가
지나치게 증식하여 폐쇄를 일으키는 경우가 많으며,
성인의 경우 대변이 딱딱하게 굳어 덩어리가 된
분석(fecalith)에 의해 폐쇄가 일어나는 경우가 많고
그 밖에 이물질에 의한 폐쇄가 일어나는 경우도
있다고 보고되고 있습니다.
일단 충수돌기의 입구가 막히게 되면
박테리아가 자라나게 되며,
분비물이 분비되면서 충수가 붓게되고
염증이 발생하게 됩니다.
1) 점막하 림프소포(lymphoid follicle)의 증식
2) 변석(fecalith) ; 대변이 굳어서 돌처럼 딱딱하게 되는 것.
3) 이물질( foreign body)
4. 충수돌기염의 기본 증상
(1)통증 (2)식욕부진 (3)국소압통 (4)발열의 4대 증상

가장 첫 번째로 나타나는 주요 증상은
체한 듯 더부룩한 느낌과 명치 부위의 통증입니다.
시간이 지나면서 상복부의 통증이 배꼽 주위를 거쳐
오른쪽 하복부로 옮겨지면서 점점 심해지고
이때 미열, 오한, 구역질 등이 동반되기도 합니다.
증상은 보통 24시간 이내에 나타납니다.
인마다 충수돌기의 위치가 조금씩 다르므로
우측 옆구리에 통증이 있을 수 있습니다.
충수돌기가 골반 내에 위치하는 경우,
배변 후에도 변을 보고 싶은 증상이나
치골 위쪽의 모호한 불편감이 나타날 수 있습니다.
하지만, 일부 환자는 다소 덜 심각한 복부 통증을 느끼거나
전혀 느끼지 않을 수도 있습니다.
[초기 맹장염의 증상]
명치 또는 배꼽 주변에 생긴 둔한 통증이
복부의 오른쪽 아래로 이동하면서
날카로워지고 심해짐 (첫 번째 신호)
식욕 감퇴
메스꺼움, 구역질, 구토 (복통이 시작된 이후)
복부 팽창
37-38도의 발열과 오한
(파열 시 38.3도 이상의 고열)
방귀 배출 불가
배뇨 시 고통스러운 통증
심한 경련
가스를 동반한 변비 또는 심한 설사
[충수돌기염의 특징적인 sign]
1) 맥버니 증상(McBurney’s sign) ; 우하복부 압통

배꼽과 우상전장골극 ( ASIS ) 를 연결하는 선상으로,
배꼽에서 외측 1/3 지점 또는 허리뼈로부터
5CM 안쪽의 점을 손가락으로 압박할 때
통증을 호소하는 경우를 양성(충수염 양성)
2) 로브싱 증상(Rovsing’s sign)
:좌 하복부 촉진 시 우하복부 통증이 발생하는 것
3) Psoas sign
이것은 급성충수염에만 특징적인 것은 아니며
어떤 이유로든지 요근이 자극을 받으면 나타나는 현상입니다.
왼쪽을 아래로 모로 누운 후에
우측다리를 편 채로 뒤로 젖히면
우측하복부에 통증이 생기는 것을 말합니다.
급성충수염 환자에서 환자가
우측 넓적다리를 오므리고 있으면 편한 것도 같은 이유입니다.
[ALARM SYMPTOM]
복부 통증이 매우 심한 경우,
약국 의약품으로 가스를 완화시키지 못한 경우
즉시 병원 응급실에 방문해 의사에게 진찰을 받아야 합니다.
충수염이 시작된 지 24시간 이내에 20%,
48시간 이내에 70%가 충수가 터져
심각한 상태에 이르기 때문에
복통이 있을 경우 지체하지 않고
바로 응급실로 가는 것이 좋습니다.
5. 충수돌기염의 유형별 증상
1) 소아에서 충수돌기염
2세 미만의 어린이의 경우 주로
식욕 부진, 구토, 복부 팽만 등의 증세가 나타나고
초기에 자꾸 졸려하고, 자극과민성을 보이며
빨리 진행하여 초기에 구토, 발열이 나타나게 됩니다.
비슷한 증상을 나타내는 질환으로
급성 위장관염, 장간막림프절염, 장중첩증,
메켈 게실염 등이 있으며 이들 질환과 감별이 요구됩니다.
2세 이상의 어린이 및 청소년은 주로
구역질, 구토, 발열, 복부 오른쪽 아래의 통증이 나타납니다.
2) 임신한 환자에게서 충수돌기염
임신부의 경우 태아가 자라면서 점차 커지는 자궁 때문에
충수가 오른쪽 아랫배에서 점차 밀려 올라가
임신 말기인 경우 복부의 오른쪽 아랫부분이 아닌
윗부분에 통증이 나타나기도 합니다.
때문에 진단 당시의 임신 개월 수에 따라
압통의 부위가 달라집니다.
충수염이 의심되면 임신 개월 수에 관계없이
조기에 수술하여야만 산모와 태아의 건강에 이롭습니다.
3) 노인 환자에게서 충수돌기염
전형적인 증상이 나타나지 않는 경우가 많고,
경과가 빠르며 합병증이 잘 생깁니다.
검사소견 상 염증을 잘 반영하지 않고,
압통 및 복통의 정도가 젊은이와 같지 않아
천공성 복막염이나 충수주위 농양으로 진행된 후에야
수술하는 경우가 흔합니다.
때문에 노인환자의 갑작스런 소화불량이나
복통을 너무 간과해서는 안 됩니다
6. 충수돌기염의 진단
맹장염은 환자의 증상, 신체 검진,
혈중 백혈구 증가 등을 기준으로 진단합니다.
좌 하복부 촉진 시 우하복부 통증이 발생하며(Rovsing sign),
압통점을 눌렀던 손을 떼면 통증이 심해지는
반발 압통(Rebound tenderness)이 관찰됩니다.
환자의 특징적 임상증상과 의사의 이학적 검사만으로도
약 80-90%정도의 환자에서 충수염을 진단할수 있지만
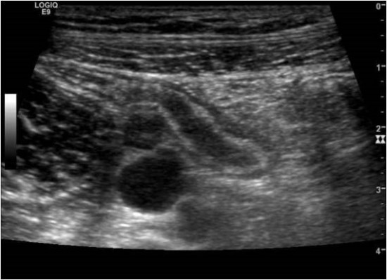
영상검사 즉, 초음파, 복부전산화단층촬영(CT)
등을 시행하면 진단율을 더 높일수가 있습니다.
복부 초음파는 가임 여성, 소아의 맹장염 진단에 유용하고,
천공, 농양 형성의 유무 등을 확인하거나
다른 질환과의 감별하는 데도 유용합니다.

[충수돌기염과 감별해야하는 질환]
대장과 소장의 염증, 부인과적 질환,
요로 기계 질환이나 복막염을 일으킬 수 있는
여러 질환과 구별해야 합니다.
대장게실
메켈게실
소장의 크론병
골반염, 자궁 내막증, 우측 난소의 낭종 질환, 자궁외 임신
요로 결석
7. 충수돌기염의 치료(수술)
맹장염이 초기이거나 증상이 가벼운 경우
항생제 치료를 시행하기도 하지만,
대부분은 수술적 처치를 시행하여 충수돌기를 절제합니다.
맹장염의 치료 시기를 놓치게 되면
충수에 구멍이 생기는 천공이 발생할 수 있습니다.
이로 인해 충수 내에 증식해 있던 세균들이
복강으로 흘러 들어가 복막염이 유발되는데,
이 경우 증상 초기보다 수술이 복잡해지고
치료 기간도 길어지기 때문에
최소한 증상이 발현한 이후 24시간 이내
치료를 시작하는 게 중요합니다.
최근에는 수술 부위에 작은 구멍을 내어
복강경을 삽입하는 복강경 수술을 주로 시행하는데
회복 기간이 짧고 흉터가 거의 남지 않아
수술에 대한 부담을 줄일 수 있습니다.
충수절제술 후의 합병증은 대부분 감염입니다.
비천공성 충수염의 5%만이 합병증이 생기나,
조직괴사나 천공이 있는 경우에는
합병증 발생률이 30%에 이르기도 합니다.
https://questiondoc.tistory.com/17염증성 장질환(IBD): 궤양성 대장염, 크론병
안녕하세요 궁금하닥입니다. 오늘은 저번 설사 포스팅에서 계속해서 언급되었던 염증성 장질환, 그 중에서도 궤양성 대장염과 크론병에 대해 조금 더 자세하게 알아보도록 하겠습니다. 설사와
questiondoc.tistory.com
728x90'건강정보 > 내과' 카테고리의 다른 글
실신과 기절 : 미주신경성(심장신경성) 실신, 기립성 저혈압 외 (0) 2022.07.17 B형 간염(hepatitis B): 간암으로 이어질 수 있어요. (0) 2022.07.04 안면신경마비 : 얼굴이 돌아갔어요?! (안면마비의 원인 및 예후) (0) 2022.05.23 입맛이 없어요 : 식욕부진 (원인과 개선 방법은?!) (0) 2022.05.19 담낭염 : 다이어트 중 극심한 통증(복통), 위경련이 아니라 담낭염 일 수 있어요. (0) 2022.05.11