-
원숭이 두창 : 국내 확진자 발생건강정보/건강칼럼 2022. 6. 22. 18:33728x90
안녕하세요 궁금하닥입니다.
저번 22년 5월 30일 기준
원숭이 두창의 전파와 증상 등에 대해
포스팅 했었는데요.
관련 내용이 궁금하신 분들은
아래 링크를 참고해 주세요
https://questiondoc.tistory.com/92
원숭이 두창 : WHO의 발표 외(+ 전파방식 및 경로, 증상, 백신)
안녕하세요 궁금하닥입니다. 2022년 5월 30일 기준으로 원숭이 두창 누적 확진자가 200명을 넘어서면서 우리나라도 법정감염병 지정을 검토하고 있다고 질병관리청에서 밝혔는데요. 제 2의 코로나
questiondoc.tistory.com
최근 국내에 원숭이 두창 환자가
유입된 것으로 보이고,
확진환자가 나오면서 위기경보가 주의로 격상되었습니다.
오늘은 원숭이 두창과 관련하여
추가적인 내용에 대해 포스팅해보겠습니다.
1. 원숭이두창 국내 발생현황
지난 21일 오후 4시쯤 독일에서 인천공항을 통해
입국한 내국인이 2차례 진단검사 결과,
최종 양성 판정을 받았다고 밝혔습니다.
확진자는 입국 전인 지난 18일 두통 증상이 나타났고,입국 당시에는 37도의 미열과 인후통, 피로 등
전신증상과 피부 병변을 보인 것으로 확인됐습니다.
국내 첫 확진자의 경우 입국 후 검역대에서 바로 신고를 해
추가 접촉자는 없는 것으로 확인됐습니다.
당국은 비행기 옆 좌석에 있던 이들의 경과 관찰을
지켜보고 있는 수준이라고 밝혔습니다.
[원숭이 두창 백신]
당국은 확진된 환자와 접촉을 통해
노출된 사람 중 접촉 강도가 중위험 또는
고위험인 경우 비축 중인 2세대 백신을 활용하여
본인 의사를 확인한 후에 동의하면
최종 노출 일부터 14일 이내에 접종할 계획이라고 밝혔습니다.
또 새로운 3세대 두창 백신 임바넥스(진네오스)를
도입하기 위해 제조사와 협의 중이라고 합니다.
만약 본인이 의심 증상이 있는 경우
질병관리청 콜센터 1339로 문의해
안내받을 수 있다고 합니다.
2. 원숭이 두창 전파양상

출처 : 중앙일보 현재까지 42개국에서 감염 사례가 2100건 이상 나오는 등,
최근 원숭이두창 상황과 관련해
동남아시아 지역 내에서는
싱가폴, 한국에서 확진자가 나왔습니다.
세계보건기구(WHO)에 따르면
감염 사례의 80% 이상이 유럽 내에서 발생했지만,
북미, 남미, 호주로도 퍼지고 있다고 합니다.
WHO는 최근 원숭이두창 감염 상황과 관련한
사망자는 1명이라고 합니다.
2022년 6월 8일 기준 국내에서 원숭이두창이
2급 전염병으로 지정되었습니다.
2급 감염병 확진자가 발생할 경우 24시간 내
방역당국에 신고해야 하며 격리가 의무화됩니다.
3. 원숭이 두창과 유사한 질환
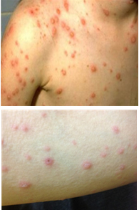
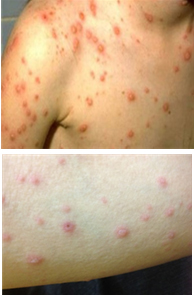
(1) 원숭이 두창

출처 : 질병관리청 발열+두통+근육통부터 시작하며
고열(38도 이상)이 동반될 수 있습니다.
발열 1~4일 후 발진이 발생하는데
발진 양상의 경우,
머리부터 시작해서 전신 팔다리 쪽으로 진행하며
경계가 명확하고 중앙이 파인 수포성발진,
대부분 같은 단계의 발진이고
손/발바닥 침범이 있습니다.
다른 질환과의 가장 특징적인 차이점이
목, 겨드랑이, 서혜부에 압통을 동반한
림프절 비대가 나타난다는 것입니다.
(2) 수두(Varicella)

두통+근육통부터 시작하여
보통은 미열만 나타나며 (38.8도 미만)
발열 0~2일 후 발진이 발생합니다.
발진양상의 경우
머리를 포함하여 주로 몸통쪽으로 진행하는데,
경계가 불명확한 수포성 발진으로
발진마다 단계가 다를 수 있고
(발진, 구진, 수포, 가피)
손/발바닥 침범은 드문 편입니다.
(3) 대상포진(Herpes zoster)

수두-대상포진 바이러스에 의한 질병으로
몸 전체에 나타날 수 있으며,
신경절을 따라 띠 형태로 나타납니다.
대개 편측성으로 나타나며
국소적인 부위에 나타나는 수포가 특징입니다.
감각신경을 침범한 경우 극렬한 통증이
운동신경을 침범한 경우
마비가 동반되어 나타날 수 있습니다.
(4) 단순포진(Herpes simplex)

1형과 2형으로 구분되는 바이러스 질환으로
병변 부위 통증, 가려움증 유발하며
국소적으로 피부, 점막 (눈, 입술 등)모두
침범 가능하지만
주로 입술, 구강, 인두, 음부 쪽에 발생합니다.
수포, 궤양을 동반할 수 있습니다.
(5) 홍역(Measles)

발열+기침+결막염의 전구증상 후
발진이 시작됩니다.
붉은 반구진성 발진이
얼굴~귀뒤, 이후 몸통 중앙쪽으로 진행하며
탈피가 일어나기도 합니다.
4. 원숭이 두창의 예방
사실 너무 당연한 얘기겠지만
원숭이 두창의 예방을 위해서는
마스크 착용 및 개인위생수칙(손씻기 등)을
준수하고 씻지 않은 손으로
눈, 코, 입, 점막 부위를 만지지 않습니다.
원숭이두창 발생지역 방문을 자제하고
부득이하게 방문할 경우
개인보호구(장갑, 마스크)를 사용하며
야생동물과의 접촉을 자제하고,
야생고기 취급섭취에 주의해야 합니다.
https://questiondoc.tistory.com/92
원숭이 두창 : WHO의 발표 외(+ 전파방식 및 경로, 증상, 백신)
안녕하세요 궁금하닥입니다. 2022년 5월 30일 기준으로 원숭이 두창 누적 확진자가 200명을 넘어서면서 우리나라도 법정감염병 지정을 검토하고 있다고 질병관리청에서 밝혔는데요. 제 2의 코로나
questiondoc.tistory.com
https://questiondoc.tistory.com/61?category=988342
코로나 19 확진자 증상: 왜 누구는 아프고 누구는 멀쩡할까? (오미크론 변이)
안녕하세요 궁금하닥 입니다. 오늘은 코로나 19를 경험하면서 누구는 감기와 비슷하다고 하고, 누구는 전혀 아프지않다고 하지만 또 다른 분들은 정말 심하게 아프기도하고 위중한 증상이 나타
questiondoc.tistory.com
728x90'건강정보 > 건강칼럼' 카테고리의 다른 글
같이 먹으면 오히려 건강을 해치는 영양제들! (0) 2022.08.08 코로나 19 재유행 : 오미크론의 하위 변이종(BA.5, BA.2.75 - 켄타로우스 변이) (0) 2022.07.25 듀시엔형/듀센 근이영양증(Duchenne muscular dystrophy) : 유전성 희귀질환 (0) 2022.06.21 원숭이 두창 : WHO의 발표 외(+ 전파방식 및 경로, 증상, 백신) (0) 2022.05.31 라식 vs 라섹 : 뭐가 좋아요? (+ 스마일라식, 렌즈삽입술) (0) 2022.05.29